先生と衛生士さんに救われた矯正治療
alt="術後口腔内写真" />

- Wさん

- 60代女性

- 矯正治療、審美歯科
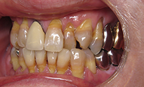
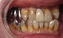
治療前
alt="術前口腔内写真" />
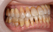
治療後
alt="術後口腔内写真" />
![]()
「思いっきり噛んで食べたい」「歯を見せて笑いたい」「口腔内の衛生状態を改善したい」「自分の歯を残したい」この4つを叶えたい。このままでは人生を楽しめない。受診当初の私の口腔内は最悪でした。3カ所もの歯科医院で治療を断られ、どの医院も方針は同じで、奥歯を抜歯するとすべての歯のバランスが崩れて総義歯になるので絶対に抜歯はしない方がいいということでした。泣く泣く最低限の治療とメンテナンスだけで数年過ごしたところ、痛みと嚙み合わせが限界になり、「もう総義歯かな」と90%諦めの状態でほんごう歯科を受診しました。
今でも一番印象に残っているのは歯科衛生士さんの言葉です。
「先生が綺麗にしてくれますよ。諦めなくても大丈夫ですよ。先生と一緒に頑張りましょう!」
この言葉に私は救われました。これから治療を頑張ろうと前向きになれたと同時に、もしかしたら人生楽しめるかもしれないという希望を手に入れることができました。
また、歯の治療は先が見えないので不安と恐怖との戦いですが、髙島先生の説明と同意の姿勢にも日々救われました。先生は治療方針や治療の説明をする際、常に私の希望を聞き、一つひとつの処置を私の希望に沿うようにしてくださいました。3カ所もの歯科医院で抜歯は危険といわれていたのに、髙島先生は抜歯しても大丈夫という根拠を、画像を基に科学的に示して分かりやすく説明してくださったので、自分でも不思議なくらい安堵して抜歯に同意することができました。この年齢で矯正や歯肉移植もしました。どんな処置でも必ず根拠を基に説明されるので安心できました。
長い期間を要しましたが、先生に歯の再構築をしていただき、おかげさまで社交的な場面に出席する機会も増え、昨年はアメリカにも行きました。嚙み合わせが良くなったことで肩こりや頭痛が嘘のように改善され、生活の質がかなり向上しました。歯の状態が心身の健康に大きく影響していることを実感しているところです。
先生をはじめスタッフの皆さま、ありがとうございました。感謝しかありません。









